تصور کنید که لبخندتان، آن لبخندی که همیشه نماد اعتماد به نفس شماست، به مرور زمان کمرنگ شود. دندانهای سفید و مرتبتان شروع به نمایان شدن ریشههای زردرنگ میکنند، حساسیت به گرما و سرما افزایش پیدا میکند و حتی جویدن غذاهای مورد علاقهتان به چالشی دردناک تبدیل میشود. این سناریو نه یک داستان ترسناک، بلکه واقعیت تلخ تحلیل لثه یا رکسیون gingival است – مشکلی که بیش از ۵۰ درصد بزرگسالان بالای ۳۰ سال را درگیر میکند. طبق آمار انجمن دندانپزشکی ایران، عقبرفتگی لثه یکی از شایعترین علل از دست رفتن زیبایی و سلامت دهان است و میتواند منجر به حساسیت دندان، عفونت لثه و حتی از دست دادن دندان شود.
روی موضوع مد نظر خود کلیک کنید.
Toggleاما خبر خوب اینجاست: جلوگیری از تحلیل لثه کاملاً ممکن است! در این راهنمای جامع، که توسط متخصصان لابراتوار پروتز دندانی اسپید تهیه شده، به بررسی علل، علائم و راهکارهای عملی حفظ سلامت لثه میپردازیم. ما در اسپید، با بیش از یک دهه تجربه در تولید پروتزهای دندانی دقیق مانند روکش ایمپلنت و نایت گارد، بر این باوریم که آموزش و پیشگیری کلید یک لبخند زیبا و ماندگار است. اگر به دنبال مراقبت لثه هستید یا میخواهید از بیماری پریودنتال دوری کنید، این مقاله را تا انتها بخوانید. کلماتی مانند التهاب لثه، تورم لثه و درد لثه دیگر نباید بخشی از زندگی روزمرهتان باشند. بیایید با هم سفری به سوی لثه سالم آغاز کنیم!
در ادامه، به جزئیات میپردازیم: از علل پنهان جذب پلاک تا نقش تغذیه مناسب در تقویت بافت لثه خواهیم پرداخت:
تحلیل لثه چیست؟ درک دقیق از عقبرفتگی لثه
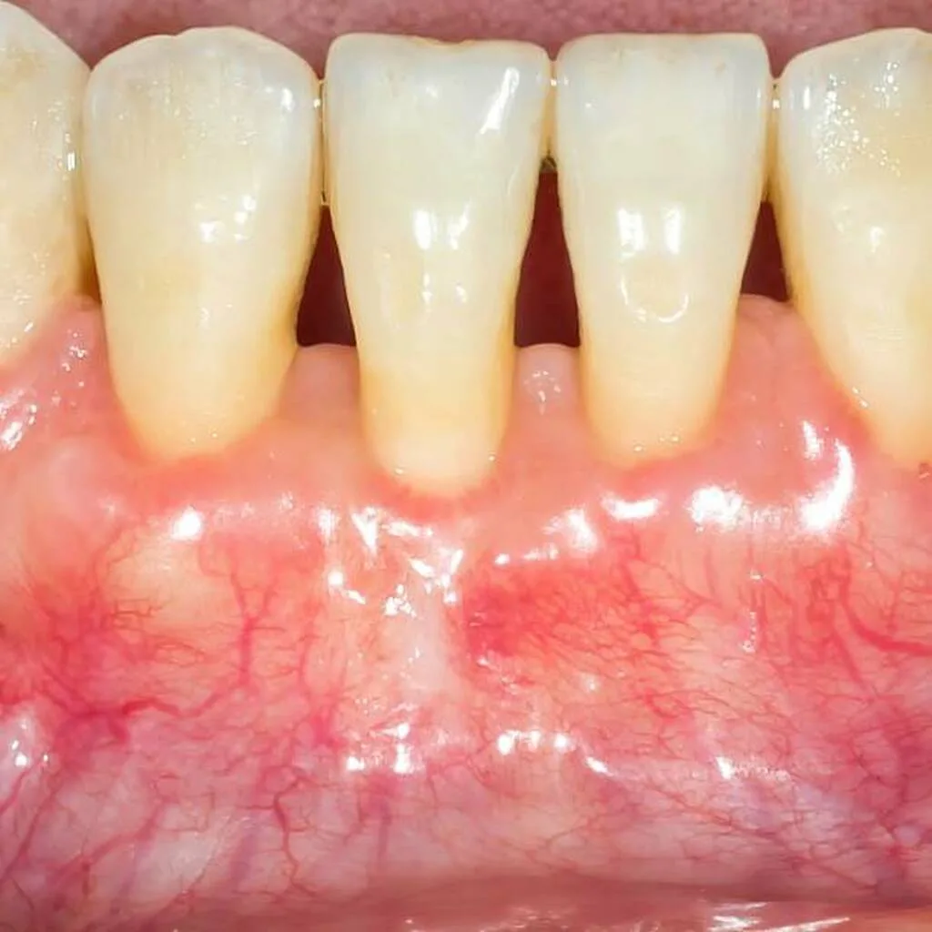
تحلیل لثه به معنای عقبنشینی تدریجی بافت لثه از روی دندانهاست. لثه، آن لایه صورتیرنگ و محافظ، مانند یک سپر طبیعی عمل میکند و ریشه دندان را از عوامل خارجی مانند باکتریها و غذاها محافظت میکند. وقتی این بافت عقب میرود، ریشه دندان نمایان میشود و دندانها بلندتر به نظر میرسند – پدیدهای که به آن دندانهای بلند میگویند.
علائم اولیه تحلیل لثه
از نظر علمی، رکسیون لثه میتواند محلی (در یک ناحیه خاص) یا عمومی (در کل دهان) باشد. طبق تحقیقات منتشرشده در مجله Journal of Periodontology، پلاک دندانی و تارتار (جرم دندان) اصلیترین عوامل بیماری لثه هستند که منجر به خونریزی لثه و در نهایت تحلیل بافت لثه میشوند. در ایران، با توجه به عادات غذایی پر از قند و نشاسته، شیوع ژنژیویت (التهاب اولیه لثه) بالاست و اگر درمان نشود، به پریودنتیت و از دست رفتن استخوان فک میرسد.
علائم اولیه تحلیل لثه را نادیده نگیرید:
- حساسیت دندان به غذاهای سرد، گرم یا شیرین.
- فاصله بین دندانها که قبلاً وجود نداشت (به آن فاصله سیاه میگویند).
- لثه قرمز یا متورم که به راحتی خونریزی میکند.
- بوی بد دهان مداوم، ناشی از باکتریهای بیهوازی.
اگر این علائم را دارید، فوراً به دندانپزشک مراجعه کنید. در لابراتوار اسپید، ما با تولید پروتزهای سفارشی مانند پلاک ارتودنسی فنردار، به دندانپزشکان کمک میکنیم تا موقعیت دندانها را اصلاح کنند و از فشار نامتعادل بر لثه جلوگیری شود.

علل اصلی تحلیل لثه: از عادتهای روزانه تا عوامل ژنتیکی
درک علل تحلیل لثه اولین گام برای پیشگیری از عقبرفتگی لثه است. این مشکل چندعاملی است و میتواند از سبک زندگی تا مسائل ارثی ناشی شود. بیایید جزئیات را بررسی کنیم:
۱. بهداشت ضعیف دهان: دشمن شماره یک لثه سالم
پلاک باکتریایی، لایه چسبناکی که روی دندانها تشکیل میشود، اگر با مسواک زدن منظم و نخ دندان پاک نشود، به جرم دندان تبدیل میشود. این جرم، التهاب بافت لثه را تحریک میکند و منجر به تورم لثه و خونریزی هنگام مسواک میگردد. آمار نشان میدهد که ۸۰ درصد موارد بیماری پریودنتال به دلیل بهداشت دهان ناکافی است.
۲. مسواک زدن خشن: فشار بیش از حد بر بافت لثه
استفاده از مسواک سخت یا تکنیک مسواک زدن افقی میتواند سایش لثه ایجاد کند. تصور کنید لثه را مانند یک پارچه ظریف در نظر بگیرید؛ فشار زیاد آن را پاره میکند. در عوض، از مسواک نرم و حرکات دایرهای استفاده کنید.
۳. سیگار کشیدن و تنباکو: سموم برای لثه
دود سیگار جریان خون به لثه را کاهش میدهد و سیستم ایمنی را ضعیف میکند، که این امر عفونت لثه را تشدید میکند. طبق سازمان بهداشت جهانی، سیگاریها ۲ برابر بیشتر در معرض از دست دادن دندان هستند.
۴. عوامل ژنتیکی و هورمونی: نقش ارثی در رکسیون لثه
برخی افراد به طور ژنتیکی بافت لثه نازک دارند، که آن را مستعد عقبرفتگی میکند. زنان در دوران بارداری یا یائسگی به دلیل تغییرات هورمونی، بیشتر درگیر التهاب لثه میشوند.
۵. مشکلات دندانی: از دندان قروچه تا ایمپلنت نامناسب
دندان قروچه (بروکسیسم) فشار مداوم بر لثه وارد میکند. اینجا نقش نایت گارد برجسته میشود – محافظی که در لابراتوار دندانسازی اسپید با مواد نرم و سخت تولید میشود تا فشار جویدن را جذب کند. همچنین، پروتزهای نامناسب مانند روکش ایمپلنت بیکیفیت میتواند لثه را تحریک کند.
۶. بیماریهای سیستمیک: دیابت و ارتباط آن با سلامت لثه
دیابت کنترل قند خون را مختل میکند و غدد بزاقی را تحت تأثیر قرار میدهد، که منجر به خشکی دهان و افزایش باکتریها میشود. آفت دهان و زخمهای کوچک نیز میتوانند نشانهای از مشکلات سیستمیک باشند.
با شناخت این علل، میتوانید ریسک تحلیل لثه را کاهش دهید. در بخش بعدی، به راهکارهای عملی میپردازیم.
علائم پیشرفته تحلیل لثه: چطور زود تشخیص دهیم؟
درد لثه مداوم، لق شدن دندان علائم هشداردهنده هستند. رنگ لثه سالم باید صورتی ملایم باشد؛ اگر بنفش یا سفید شد، عفونت محتمل است. معاینه منظم با اندازهگیری عمق پاکت لثه (بیش از ۳ میلیمتر خطرناک است) ضروری است.
راهکارهای عملی جلوگیری از تحلیل لثه: گامبهگام برای لثههای قوی
حالا به بخش هیجانانگیز میرسیم: چگونه از تحلیل لثه جلوگیری کنیم؟ این راهنما بر اساس توصیههای انجمن پریودنتولوژی ایران و تجربیات تکنسینهای لابراتوار اسپید تدوین شده است. هر گام را با جزئیات بررسی میکنیم.
گام ۱: بهداشت دهان عالی – پایه و اساس حفظ بافت لثه
- مسواک زدن دو بار در روز: از خمیر دندان حاوی فلوراید و مسواک الکتریکی استفاده کنید. تکنیک باس (Bass) را امتحان کنید: زاویه ۴۵ درجه و حرکات کوتاه.
- نخ دندان روزانه: برای پاک کردن پلاک بین دندانی، که مسواک به آن دسترسی ندارد.
- شستشو با دهانشویه ضدباکتری: محصولاتی با کلرهگزیدین برای کاهش التهاب لثه.
گام ۲: رژیم غذایی غنی از ویتامینها – تغذیه برای تقویت لثه
ویتامین C (در پرتقال و فلفل) کلاژن لثه را افزایش میدهد و از خونریزی لثه جلوگیری میکند. ویتامین D (از نور خورشید یا ماهی) جذب کلسیم را بهبود میبخشد و استخوان فک را محکم نگه میدارد. از قندهای تصفیهشده دوری کنید، زیرا باکتریهای دهان را تغذیه میکنند. غذاهای فیبردار مانند سبزیجات برگدار، جریان بزاق را افزایش میدهند و خشکی دهان را درمان میکنند.
گام ۳: ترک عادتهای مضر – خداحافظی با سیگار و استرس
ترک سیگار میتواند جریان خون لثه را ۳۰ درصد بهبود بخشد. برای استرس، که باعث دندان قروچه میشود، مدیتیشن یا یوگا را امتحان کنید. در اسپید، نایت گارد نرم ما برای کاهش فشار شبانه بر لثه طراحی شده – محصولی سفارشی که از مواد hypoallergenic ساخته میشود.
گام ۴: معاینات منظم دندانپزشکی – پیشگیری بهتر از درمان
هر ۶ ماه یکبار جرمگیری حرفهای انجام دهید. دندانپزشک میتواند پاکتهای لثه را بررسی کند و در صورت نیاز، جراحی لثه پیشنهاد دهد.
گام ۵: استفاده از پروتزهای باکیفیت – نقش لابراتوار دندانسازی اسپید در کنترل تحلیل لثه
در موارد پیشرفته، ایمپلنت دندانی یا پروتز ثابت لازم است. روکش ایمپلنت ما در اسپید، با دقت میلیمتری ساخته میشود تا فشار یکنواخت بر لثه وارد کند و از تحریک بافت جلوگیری شود. پلاک ارتودنسی فنردار برای اصلاح موقعیت دندانها و کاهش فاصله بین دندانی ایدهآل است. این پروتزها نه تنها زیبایی دندان را حفظ میکنند، بلکه سلامت پریودنتال را تضمین میکنند.
گام ۶: درمانهای خانگی و طبیعی – راهکارهای مکمل برای لثه سالم
- روغنکشی با روغن نارگیل: برای کاهش پلاک و بوی بد دهان.
- ژل آلوئهورا: تسکیندهنده تورم لثه و ضدالتهاب.
- چای سبز: غنی از آنتیاکسیدانها برای تقویت سیستم ایمنی دهان.
این گامها را ترکیب کنید تا ریسک رکسیون لثه را به صفر برسانید.

نقش پروتزهای دندانی در حفظ سلامت لثه: تخصص اسپید
در لابراتوار پروتز دندانی اسپید، ما فراتر از تولید میرویم؛ ما راهحلهای پیشگیری ارائه میدهیم. نایت گارد سخت برای بیماران بروکسیسم، از لثه در برابر ساییدگی محافظت میکند. دستگاه ارتودنسی متحرک ما، با فنرهای دقیق، فکها را تراز میکند و فشار بر لثه را توزیع میکند. اگر دندانهای از دسترفته دارید، پروتزهای ایمپلنت ما با مواد زیستسازگار، بافت لثه را تحریک میکنند.
درمانهای پیشرفته برای تحلیل لثه: از جراحی تا لیزر
اگر پیشگیری دیر شده، گزینهها عبارتند از:
- گرافت لثه: انتقال بافت از سقف دهان به ناحیه آسیبدیده.
- لیزر درمانی: بدون درد، برای حذف جرم و بازسازی لثه.
- داروهای موضعی: مانند مینوسایکلین برای کنترل عفونت.
در اسپید، ما پروتزهای پس از جراحی را سریع تولید میکنیم تا بهبودی تسریع شود.
اشتباهات رایج در مراقبت لثه: چه کارهایی نکنید؟
- نادیده گرفتن بوی بد دهان: نشانه باکتریهای پاتوژن.
- استفاده از مسواک کهنه: بیش از ۳ ماه دوام نمیآورد.
- غفلت از نخ دندان: ۴۰ درصد پلاک را پاک میکند!
پیشنهاد مطالعه:
سؤالات متداول درباره جلوگیری از تحلیل لثه
تحلیل لثه برگشتپذیر یا قابل درمان است؟ بله، در مراحل اولیه با بهداشت و پروتز مناسب، کاملاً قابل کنترل است.
کودکان هم تحلیل لثه میگیرند؟ بله، به دلیل عادت انگشتشماری یا ارتودنسی ناقص.
نقش ایمپلنت در پیشگیری چیست؟ ایمپلنت فضای خالی را پر میکند و جابجایی دندان را جلوگیری میکند.
لبخند زیبایتان را با اسپید حفظ کنید
جلوگیری از تحلیل لثه نه تنها سلامت دهان را تضمین میکند، بلکه اعتماد به نفس شما را افزایش میدهد. با رعایت بهداشت دهان، تغذیه مناسب و استفاده از پروتزهای باکیفیت، میتوانید از عقبرفتگی لثه، حساسیت دندان و از دست دادن دندان دوری کنید. در لابراتوار پروتز دندان اسپید، ما متعهد به تولید روکش ایمپلنت، نایت گارد و پلاک ارتودنسی هستیم تا دندانپزشکان و بیمارانمان لثه سالم و دندانهای زیبا داشته باشند.
آمادهاید تا سلامت لثهتان را ارتقا دهید؟
با ما تماس بگیرید یا از وبلاگ لابراتوار دندانسازی اسپید برای مقالات بیشتر مانند “رنگ لثه سالم” و “علت عفونت لثه” بازدید کنید.
لبخندتان ارزشمند است – آن را حفظ کنید!


