جلوگیری از تحلیل لثه: راهنمای کامل حفظ سلامت لثه و دندانهای زیبا
تصور کنید که لبخندتان، آن لبخندی که همیشه نماد اعتماد به نفس شماست، به مرور زمان کمرنگ شود. دندانهای سفید […]
در این بخش از سایت با موضوع بیماریهای دهان و دندان، شما میتوانید به صورت کامل و علمی با انواع مشکلات و اختلالات دهانی آشنا شوید، علائم، روشهای پیشگیری و درمانهای بهروز را یاد بگیرید و آگاهی خود را در مراقبت از سلامت دهان و دندان افزایش دهید. مراقبت دقیق از دهان و دندان نه تنها باعث جلوگیری از پوسیدگی، التهاب لثه، بوی بد دهان و تحلیل استخوان میشود، بلکه نقش بسیار مهمی در حفظ سلامت عمومی بدن، افزایش کیفیت زندگی و بهبود لبخند طبیعی شما دارد.
در مقالات این دستهبندی درباره موضوعات کاربردی و تخصصی مانند:
پوسیدگی دندان: علل، نشانهها و راههای درمان
بیماریهای لثه (ژنژیویت و پریودنتیت) و روشهای پیشگیری
علت بوی بد دهان و درمانهای مؤثر
عفونتها، زخمهای دهانی و مشکلات رایج دیگر
ارتباط سلامت دهان با سلامت عمومی بدن
مطالبی ارزشمند و بهروز خواهید خواند تا بتوانید بهطور علمی و عملی به مراقبت از دهان و دندانهای خود بپردازید.
تیم ما همچنین آماده است تا پاسخگوی سوالات تخصصی شما باشد. اگر نیاز به مشاوره رایگان، راهنمایی در انتخاب روش درمانی یا بررسی وضعیت دهان و دندان خود دارید، همین حالا با دندانسازی اسپید تماس بگیرید.
همچنین دعوت میکنیم مقالات مرتبط در این دسته را مطالعه کنید تا بهترین و بهروزترین راهکارها را بیاموزید و لبخندی سالمتر و جذابتر داشته باشید. 🌟
تصور کنید که لبخندتان، آن لبخندی که همیشه نماد اعتماد به نفس شماست، به مرور زمان کمرنگ شود. دندانهای سفید […]
یک آمار اخیر نشان می دهد که بیش از 47 درصد از بزرگسالان بالای 30 سال به پریودنتال مبتلا
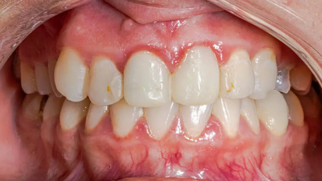
لثههای سالم باید دارای رنگی صحیح و طبیعی باشند که در اکثر افراد رنگ صورتی یا قرمز مایل به صورتی
آیا لثه های شما به راحتی خونریزی می کنند؟ ممکن است دلیل آن بسیار ساده باشد، مثلا هنگام مسواک زدن
ژنژیویت و پریایمپلنتیت دو نوع التهاب مختلف در دندانها و بافتهای اطراف آنها هستند. این دو بیماری علایم و تاثیرات
وارنیش فلوراید به طور گسترده به عنوان درمان انتخابی برای پیشگیری از پوسیدگی دندان کودکان مستعد پوسیدگی دندانی، استفاده می
با وجود این که در رابطه با سلامت دهان و دندان ها اطلاعات زیادی وجود دارد و همه روزه این
موکوزیت اطراف ایمپلنت اگر زود تشخیص داده شود، ۱۰۰٪ بدون جراحی و بدون از دست دادن ایمپلنت درمان میشود. ما
بع پوسیدگی دندان در کودک لینک بده در تعریف فیشور سیلانت ها می توان گفت که آن ها پوشش های
بیماری پریودنتیت یا پیوره دندان نوعی التهاب لثه و بافت های اطراف دندان است که یکی از شایع ترین بیماری